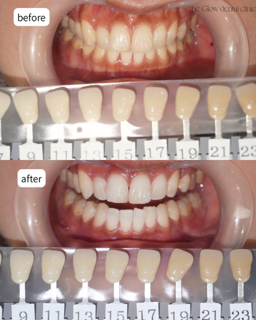
トランセントフラッシュ 1回
症例①
| 施術名(メニュー) | トランセントフラッシュ 1回 |
|---|---|
| 施術内容 |
トランセントフラッシュホワイトニング |
| 患者様の性別・年齢 | 女性 31歳 |
| 通院回数・期間 | 1回 |
| 費用 | 44,000円(税込) |
| 副作用・リスク | 軽度熱感、軽度歯肉炎症 |
症例➁

| 施術名(メニュー) | トランセントフラッシュ 1回 |
|---|---|
| 施術内容 |
トランセントフラッシュホワイトニング |
| 患者様の性別・年齢 | 男性・28歳 |
| 通院回数・期間 | 1回 |
| 費用 | 44,000円(税込) |
| 副作用・リスク | 軽度熱感、軽度歯肉炎症 |
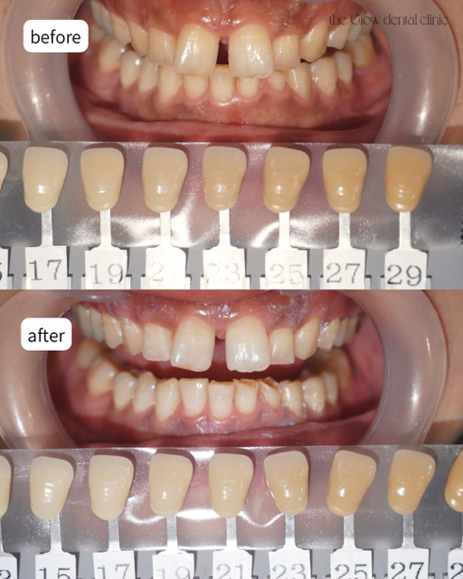
症例③

| 施術名(メニュー) | トランセントフラッシュ 1回 |
|---|---|
| 施術内容 | トランセントフラッシュホワイトニング |
| 患者様の性別・年齢 | 男性・46歳 |
| 通院回数・期間 | 1回 |
| 費用 | 44,000円(税込) |
| 副作用・リスク | 軽度熱感、軽度歯肉炎症 |
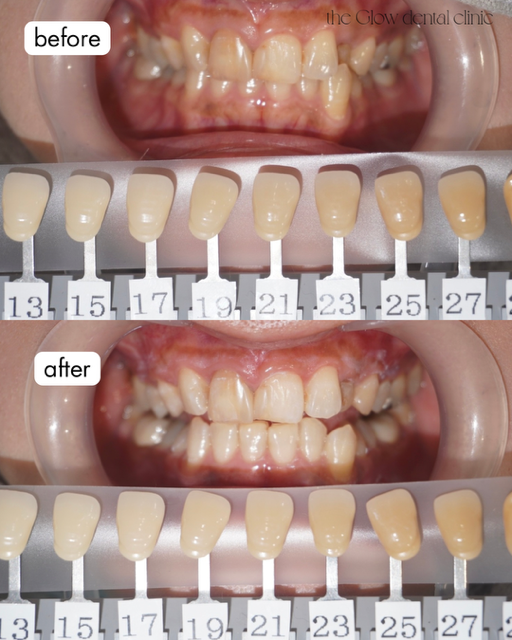
症例④

| 施術名(メニュー) | トランセントフラッシュ 1回 |
|---|---|
| 施術内容 | トランセントフラッシュホワイトニング |
| 患者様の性別・年齢 | 男性・19歳 |
| 通院回数・期間 | 1回 |
| 費用 | 44,000円(税込) |
| 副作用・リスク | 軽度熱感、軽度歯肉炎症 |
症例⑤

| 施術名(メニュー) | トランセントフラッシュ 1回 |
|---|---|
| 施術内容 | トランセントフラッシュホワイトニング |
| 患者様の性別・年齢 | 女性・40歳 |
| 通院回数・期間 | 1回 |
| 費用 | 44,000円(税込) |
| 副作用・リスク | 軽度熱感、軽度歯肉炎症 |
症例⑥

| 施術名(メニュー) | トランセントフラッシュ 1回 |
|---|---|
| 施術内容 | トランセントフラッシュホワイトニング |
| 患者様の性別・年齢 | 男性・43歳 |
| 通院回数・期間 | 1回 |
| 費用 | 44,000円(税込) |
| 副作用・リスク | 軽度熱感、軽度歯肉炎症 |
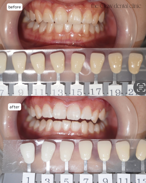
トランセントフラッシュ+ボーダレス症例
症例①

| 施術名(メニュー) | トランセントフラッシュ+ボーダレス |
|---|---|
| 施術内容 |
トランセントフラッシュホワイトニング+ボーダレス |
| 患者様の性別・年齢 | 女性・29歳 |
| 通院回数・期間 | 1回 |
| 費用 | 58,000円(税込) |
| 副作用・リスク | 軽度熱感、軽度歯肉炎症 |
トランセントフラッシュ3回券症例
症例①

| 施術名(メニュー) | トランセントフラッシュ3回券 |
|---|---|
| 施術内容 | トランセントフラッシュホワイトニング3回 |
| 患者様の性別・年齢 |
女性・36歳 |
| 通院回数・期間 | 3回・3ヶ月 |
| 費用 | 105,600円(税込) |
| 副作用・リスク | 軽度熱感、軽度歯肉炎症 |
症例➁

| 施術名(メニュー) | トランセントフラッシュ3回券 |
|---|---|
| 施術内容 | トランセントフラッシュホワイトニング3回 |
| 患者様の性別・年齢 | 女性・45歳 |
| 通院回数・期間 | 3回・1か月半 |
| 費用 | 105,600円(税込) |
| 副作用・リスク | 軽度熱感、軽度歯肉炎症 |
症例③

| 施術名(メニュー) | トランセントフラッシュ3回券 |
|---|---|
| 施術内容 | トランセントフラッシュホワイトニング3回 |
| 患者様の性別・年齢 | 女性・48歳 |
| 通院回数・期間 | 3回・1か月半 |
| 費用 | 105,600円(税込) |
| 副作用・リスク | 軽度熱感、軽度歯肉炎症 |
症例④

| 施術名(メニュー) | トランセントフラッシュ3回券 |
|---|---|
| 施術内容 | トランセントフラッシュホワイトニング3回 |
| 患者様の性別・年齢 | 32歳・女性 |
| 通院回数・期間 | 3回・2ヶ月 |
| 費用 | 105,600円(税込) |
| 副作用・リスク | 軽度熱感、軽度歯肉炎症 |

